Dental hygiene tips for healthy teeth & gums

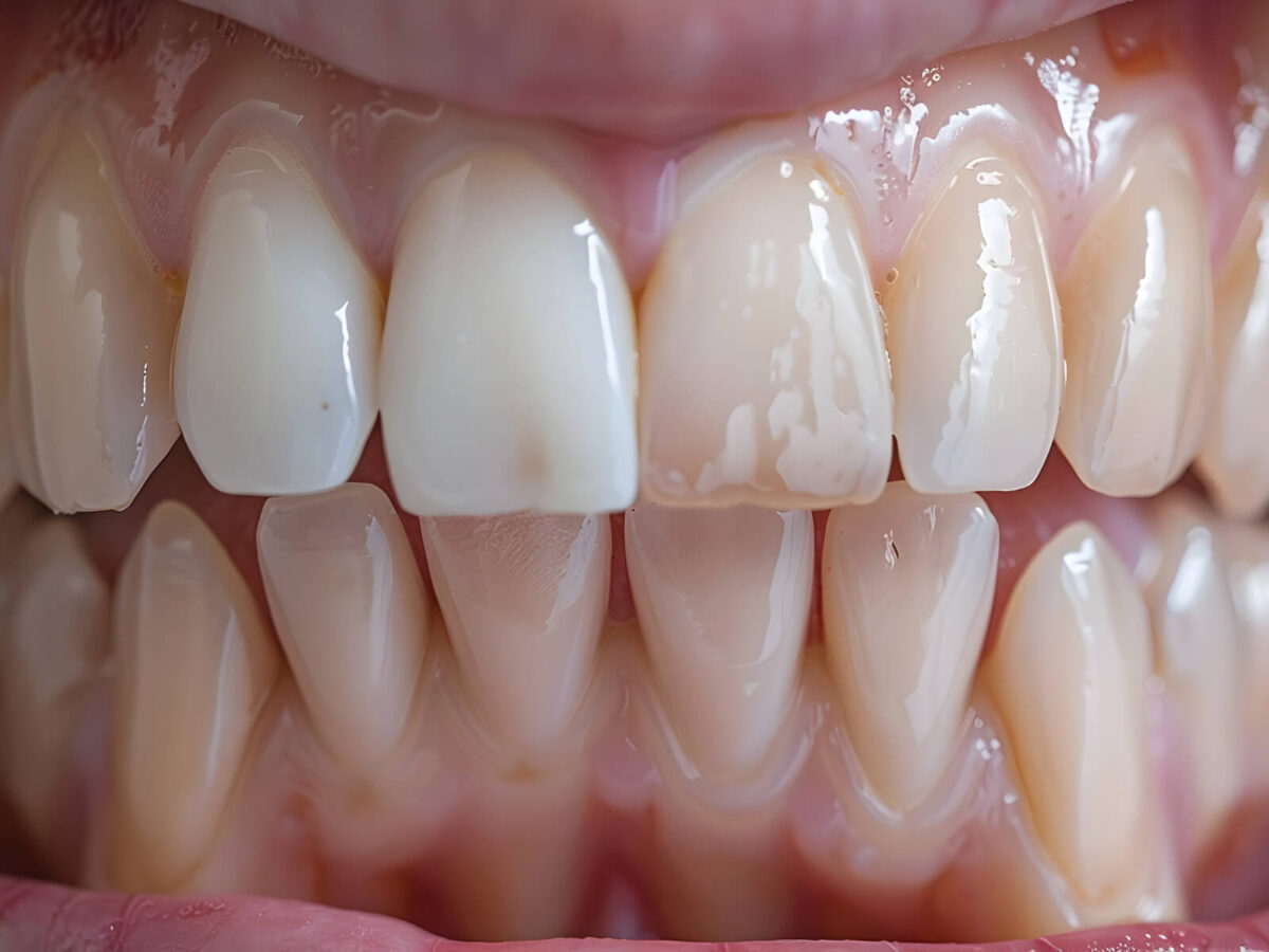
Having white spots on your teeth indicates that you are losing minerals in your enamel. Healthy enamel reflects light evenly. When you spot anything on your teeth, it’s because the enamel isn’t reflecting the light evenly anymore.
At our Tidwell Road Dentist TX clinic, this is a question we hear all the time. And here’s the good news: those white spots are usually harmless. However, these things can point to a more serious issue. The better news? There are real, effective ways to treat them and even get rid of them completely.
Let’s break it down.
These spots on your teeth look just like white grains. It describes a situation where your teeth are missing the minerals contained in enamel. Most of the time, you see that your teeth are polished and shiny thanks to the strong and smooth enamel coating that reflects light. However, if the outer layer is not strong enough, the light hits differently, and the discoloration appears.
But when mineral content drops in certain areas, those spots reflect light differently. The result? Patchy discoloration that appears whiter than the surrounding tooth surface.
Several things can lead to these chalky spots. Let’s go through a few of the common ones.
1. Too Much Fluoride Early On
When kids get too much fluoride while their teeth are still developing (think fluoridated water, toothpaste, or supplements), it can lead to fluorosis. It’s not dangerous, but it often leaves behind white or brownish spots that stay for life unless treated.
2. Enamel Hypoplasia
Sometimes, teeth don’t develop fully due to illness, high fever, or nutritional issues during childhood. The enamel ends up thinner in some areas. That makes those parts of the tooth more prone to staining and spotting.
Many of our patients at Tidwell Road Dental Office TX don’t even realize this is the root cause until we take a closer look.
3. Plaque Build-Up and Poor Oral Hygiene
You know those sticky spots where plaque loves to hide? Over time, if it’s not removed properly, that plaque begins to damage the enamel beneath it. The result? Irregular white patches, especially around braces or in hard-to-reach places.
This is one of the most common reasons teens and adults get white spots after orthodontic treatment.
4. Diet Plays a Role Too
Sodas, citrus fruits, and dressings with vinegar can all contribute to the gradual wearing of your tooth enamel. With time, it will begin to show itself as wear and tear. One early sign? You guessed it—white spots.
Yes. And you’ve got more options than ever.
At our Tidwell Road Dentist TX practice, we tailor treatments depending on the cause and severity of the spots. Sometimes, all it takes is a non-invasive solution. Other times, you might need something a bit more involved, but the results are worth it.
Here Are a Few Proven Treatments for White Spots on Teeth:
1. Remineralization Therapy
Think of this as a vitamin boost for your teeth. Remineralizing pastes or fluoride varnishes are applied directly to the enamel to help restore lost minerals.
It’s great for early-stage white spots, especially if you catch them soon. These treatments are gentle, non-invasive, and can be done right here at our Tidwell Road Dental Office TX.
2. Microabrasion
This method uses a gentle buffing action to take off some of the top part of the tooth and help even out the white spots. It’s a quick and easy process that can really help your smile look better in no time. Perfect for smaller or surface-level discoloration.
3. Teeth Whitening
It might sound strange—why whiten teeth that already have white spots? But hear this: whitening the entire tooth helps even out the overall shade, making the white spots much less noticeable.
It won’t remove the spots entirely, but for many, it creates a more uniform smile and boosts confidence.
4. Icon Resin Infiltration
Now this one’s a newer, more advanced treatment. It works by filling the porous enamel beneath the white spots with a special resin. The result? The spots blend into the natural color of your teeth almost instantly.
It’s minimally invasive, has zero drilling, and has quickly become one of the most popular options for treatment for white spots on teeth.
5. Veneers or Bonding
If stains are deeply colored or white spots are not improving with other treatments, consider optical bonding or porcelain veneers.
They use materials that look like regular teeth that conceal the white marks. It’s a more permanent fix and mainly effective if you’re dealing with other issues like chips or gaps.
Are the white spots bothering you? Are they spreading? Don’t wait. They might not hurt, but they often signal something your teeth are trying to tell you. And in some cases, it can mean early decay.
It’s always better to catch and treat things early. At our Tidwell Road Dental Office TX, we’re here to help you get your smile back on track—without judgment, just real solutions.
Many people find white spots on their teeth to be a nagging and bothersome problem. The truth is, they’re common. And they’re treatable. Whether they showed up after braces, appeared in childhood, or started popping up recently, you’ve got options.
Because of new treatments like resin infiltration and others, there’s no need for you to put up with them any longer.
We, at Tidwell Road Dentist TX, are here to help you if you need expert management and to help you choose the appropriate option for your dental problem